missing translation for 'onlineSavingsMsg'
Learn More

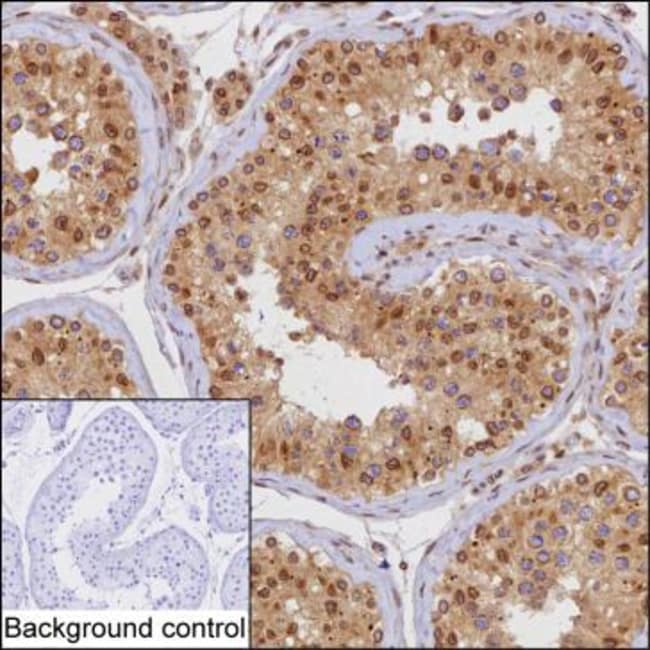
Invitrogen™ RANGAP1 Monoclonal Antibody (K52049_6F3), Invitrogen™

Mouse Monoclonal Antibody

Brand:  Invitrogen™ MA555954

 View more versions of this product

Product Code. 30196513

  • 524.00 € / 50µg

Please to purchase this item. Need a web account? Register with us today!

This item is not returnable. View return policy

Description

Description

Sequence of this protein is as follows: KGAVAMAETL KTLRQVEVIN FGDCLVRSKG AVAIADAIRG GLPKLKELNL SFCEIKRDAA LAVAEAMADK AELEKLDLNG NTLGEEGCEQ LQEVLEGFNM AKVLASLSDD EDEEEEEEGE

Ran is a small signaling GTPase that is involved in nucleocytoplasmic transport. Two additional functions of animal Ran in the formation of spindle asters and the reassembly of the nuclear envelope in mitotic cells have been recently reported. In contrast to Ras or Rho, Ran is not associated with membranes. Instead, the spatial sequestering of its accessory proteins, the Ran GTPase-activating protein RanGAP and the nucleotide exchange factor RCC1, appears to define the local concentration of RanGTP vs. RanGDP involved in signaling. Mammalian RanGAP is bound to the nuclear pore by a mechanism involving the attachment of small ubiquitin-related modifier protein (SUMO) to its C terminus and the subsequent binding of the SUMOylated domain to the nucleoporin Nup358.
TRUSTED_SUSTAINABILITY
Specifications

Specifications

RANGAP1
Monoclonal
1 mg/mL
PBS with 50% glycerol, 0.5% BSA and 0.09% sodium azide
P46060
RANGAP1
Recombinant human RANGAP1 (immunogen range is 251-370).
50 μL
Primary
Human
Antibody
IgG1
Immunohistochemistry (Paraffin), Immunoprecipitation, Western Blot
K52049_6F3
Unconjugated
RANGAP1
C79654; fug1; KIAA1835; MGC20266; mKIAA1835; RAN GTPase activating protein 1; RAN GTPase activating protein 1 a; Ran GTPase activating protein 1 b; Ran GTPase activating protein 1 L homeolog; Ran GTPase activating protein 1 S homeolog; ran GTPase-activating protein 1; RANGAP; RanGAP1; rangap1.L; rangap1.S; rangap1a; rangap1-a; rangap1b; rangap1-b; rna1p; SD; segregation distorter homolog; segregation distortion; XELAEV_18023679mg; XELAEV_18025680mg
Mouse
Protein A
RUO
5905
Store at 4°C short term. For long term storage, store at -20°C, avoiding freeze/thaw cycles.
Liquid
Product Suggestions

Product Suggestions

Videos
SDS
Documents

Documents

Certificates
Promotions

Promotions

Product Content Correction

Your input is important to us. Please complete this form to provide feedback related to the content on this product.

Product Title

By clicking Submit, you acknowledge that you may be contacted by Fisher Scientific in regards to the feedback you have provided in this form. We will not share your information for any other purposes. All contact information provided shall also be maintained in accordance with our Privacy Policy.

Thank You! Your feedback has been submitted. Fisher Scientific is always working to improve our content for you. We appreciate your feedback.