missing translation for 'onlineSavingsMsg'
Learn More
Learn More
Description
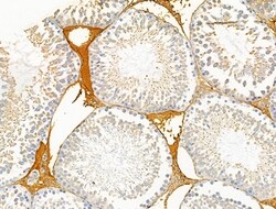
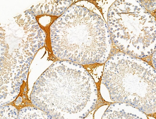
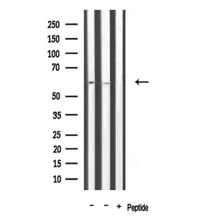
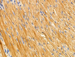
Antibody detects endogenous levels of total T3JAM.
The gene encodes a protein that mediates cell growth by modulating the c-Jun N-terminal kinase signal transduction pathway. The encoded protein may also interact with a large multi-protein assembly containing the phosphatase 2A catalytic subunit. Alternative splicing results in multiple transcript variants. [provided by RefSeq, Dec 2013].
Specifications
Specifications
| Antigen | TRAF3IP3 |
| Applications | Immunohistochemistry (Paraffin), Western Blot, Immunocytochemistry |
| Classification | Polyclonal |
| Concentration | 1 mg/mL |
| Conjugate | Unconjugated |
| Formulation | PBS with 50% glycerol and 0.02% sodium azide; pH 7.4 |
| Gene | TRAF3IP3 |
| Gene Accession No. | Q8C0G2, Q9Y228 |
| Gene Alias | 6030423D04Rik; AI115021; DJ434O14.3; FLJ44151; MGC117354; MGC163289; RGD1304848; T3JAM; TRAF3 interacting Jun N terminal kinase (JNK) activating modulator; TRAF3 interacting protein 3; TRAF3-interacting JNK-activating modulator; TRAF3-interacting JNK-activating modulator-like protein; TRAF3-interacting Jun N-terminal kinase (JNK)-activating modulator; TRAF3-interacting protein 3; Traf3ip3 |
| Gene Symbols | TRAF3IP3 |
| Show More |
Product Title
By clicking Submit, you acknowledge that you may be contacted by Fisher Scientific in regards to the feedback you have provided in this form. We will not share your information for any other purposes. All contact information provided shall also be maintained in accordance with our Privacy Policy.
Spot an opportunity for improvement?
