Learn More
Invitrogen™ TMEM59 Polyclonal Antibody

Rabbit Polyclonal Antibody
Brand: Invitrogen™ PA521575
Description
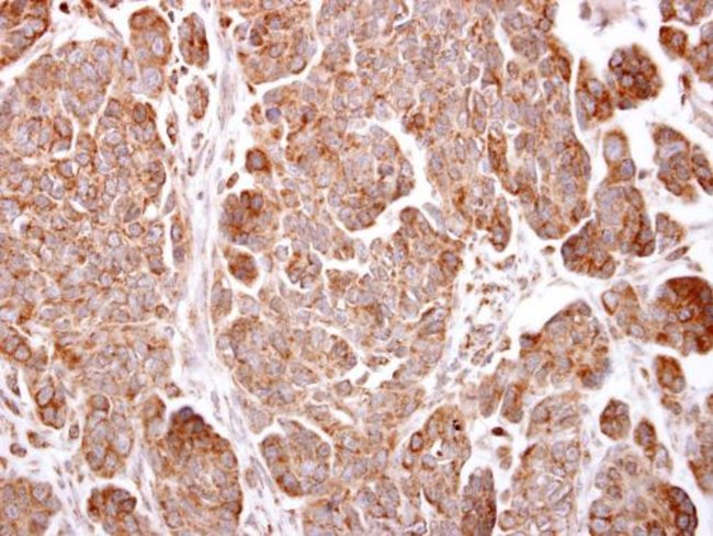
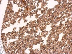
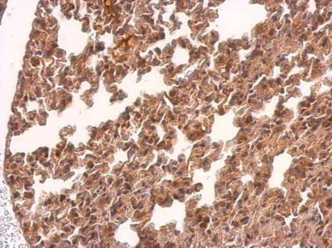
Recommended positive controls: A431, mouse liver, rat kidney. Predicted reactivity: Mouse (95%), Rat (94%), Pig (96%), Chicken (83%), Rhesus Monkey (98%), Chimpanzee (100%), Bovine (96%). Store product as a concentrated solution. Centrifuge briefly prior to opening the vial.
Processing of the amyloid precursor protein (APP) by two different proteases, called alpha- and beta-secretase, is a central regulatory event in the generation of the amyloid beta peptide (Abeta), which has a key role in Alzheimer disease (AD) pathogenesis. TMEM59, a Golgi-localized protein, modulates the O-glycosylation and complex N-glycosylation steps occurring during the Golgi maturation of several proteins such as APP, BACE1, SEAP or PRNP. It inhibits APP transport and shedding.
Specifications
| TMEM59 | |
| Polyclonal | |
| Unconjugated | |
| TMEM59 | |
| 1110001M20Rik; 3110046P06Rik; AI256529; C1orf8; D4Ertd20e; DCF1; dendritic cell factor 1; HSPC001; Liver membrane-bound protein; MTDCF1; ORF18; PRO195; RGD1310313; RP4-758J24.2; Tdcf1; Thymic dendritic cell-derived factor 1; TMEM59; Transmembrane protein 59; UNQ169; UNQ169/PRO195 | |
| Rabbit | |
| Antigen affinity chromatography | |
| RUO | |
| 100196907, 56374, 9528 | |
| Store at 4°C short term. For long term storage, store at -20°C, avoiding freeze/thaw cycles. | |
| Liquid |
| Immunohistochemistry (Paraffin), Western Blot | |
| 1 mg/mL | |
| 0.1M tris glycine with 10% glycerol and 0.01% thimerosal; pH 7 | |
| Q9BXS4, Q9QY73 | |
| TMEM59 | |
| Recombinant protein encompassing a sequence within the center region of human TMEM59. The exact sequence is proprietary. | |
| 100 μL | |
| Primary | |
| Human, Mouse, Rat | |
| Antibody | |
| IgG |
Your input is important to us. Please complete this form to provide feedback related to the content on this product.