missing translation for 'onlineSavingsMsg'
Learn More
Learn More
Invitrogen™ SPDYA Polyclonal Antibody

Rabbit Polyclonal Antibody
Brand: Invitrogen™ PA5102593
This item is not returnable.
View return policy
Description
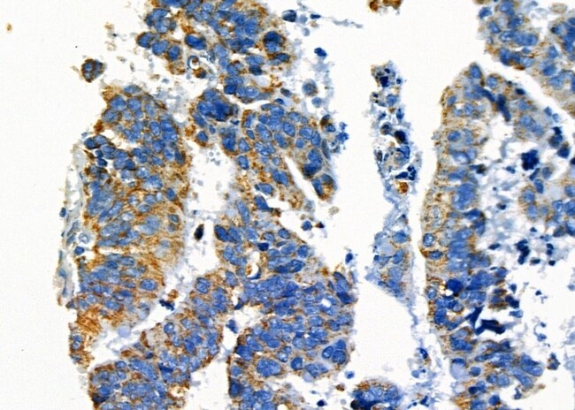
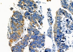
Antibody detects endogenous levels of total SPDYA.
Speedy A, also known as SPDYA, SPDY1, Ringo3 or SPY1, is a 313 amino acid protein that localizes to the nucleus and belongs to the speedy/ringo family. Expressed at high levels in testis and at lower levels in brain, kidney, heart, bone marrow, colon, lung, liver spleen and placenta, Speedy A functions to regulate the G1/S phase transition of the cell cycle, specifically by binding to and activating Cdc2 p34, Cdk2 and p27. Additionally, Speedy A mediates cell survival during DNA damage, suggesting that Speedy A plays a role in proper cell cycle progression throughout the life of the cell. Multiple isoforms of Speedy A exist due to alternative splicing events. The gene encoding Speedy A maps to human chromosome 2, which encodes over 1,400 genes and comprises nearly 8% of the human genome.
Specifications
| SPDYA | |
| Polyclonal | |
| Unconjugated | |
| SPDYA | |
| 4921517J08Rik; 4930548B21Rik; Gs4; hSpy/Ringo A; Lm23; MLZ-465; mSpy/Ringo A; protein expressed in male leptotene and zygotene spermatocytes 465; Rapid inducer of G2/M progression in oocytes A; RINGO A; RINGO3; RINGOA; SPDY1; SPDYA; spdya {ECO:0000250; speedy A; speedy A1; speedy A2; speedy homolog 1; speedy homolog A; speedy homolog A (Xenopus laevis); speedy protein A; speedy/ringo; speedy/RINGO cell cycle regulator family member A; Speedy-1; spermatogenesis related protein Gs4; spy1; UniProtKB:Q5MJ70} | |
| Rabbit | |
| Affinity chromatography | |
| RUO | |
| 192209, 245711, 70891 | |
| -20°C | |
| Liquid |
| Immunohistochemistry (Paraffin), Western Blot, Immunocytochemistry | |
| 1 mg/mL | |
| PBS with 50% glycerol and 0.02% sodium azide; pH 7.4 | |
| Q5IBH7, Q5MJ70, Q8R496 | |
| SPDYA | |
| A synthesized peptide derived from human SPDYA(Accession Q5MJ70), corresponding to amino acid residues R197-S247. | |
| 100 μL | |
| Primary | |
| Human, Mouse, Rat | |
| Antibody | |
| IgG |
Product Content Correction
Your input is important to us. Please complete this form to provide feedback related to the content on this product.
Product Title
Spot an opportunity for improvement?Share a Content Correction