missing translation for 'onlineSavingsMsg'
Learn More

CNN2, Rabbit, Polyclonal Antibody, Abnova™

Rabbit polyclonal antibody raised against synthetic peptide of CNN2.

Brand:  Abnova PAB26981.100uL

Product Code. 16087157

  • 503.00 € / 100µL

Please to purchase this item. Need a web account? Register with us today!

This item is not returnable. View return policy

Description

Description

The protein encoded by this gene, which can bind actin, calmodulin, troponin C, and tropomyosin, may function in the structural organization of actin filaments. The encoded protein could play a role in smooth muscle contraction and cell adhesion. Two transcript variants encoding different isoforms have been found for this gene. [provided by RefSeq

Specifications

Specifications

CNN2
Polyclonal
Unconjugated
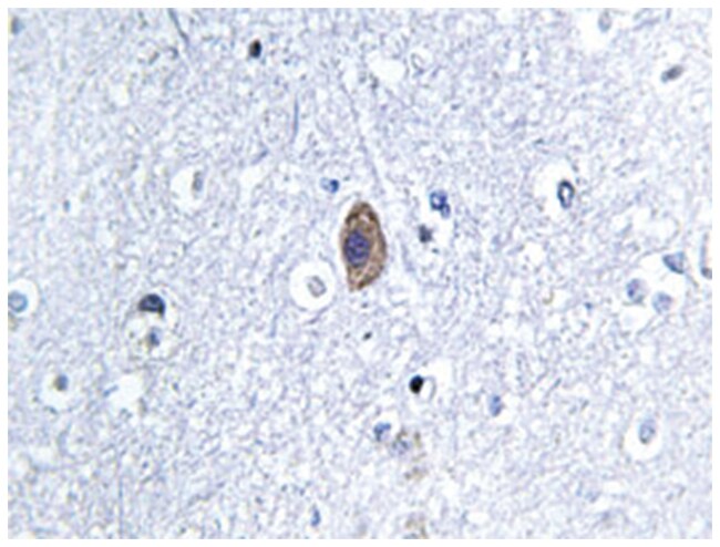
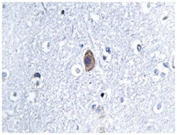
Western Blot (1:500-1:1000) Immunohistochemistry (1:50-1:200) Immunofluorescence (1:50-1:200) The optimal working dilution should be determined by the end user.
CNN2
CNN2
A synthetic peptide corresponding to human CNN2.
100 μL
Primary
CNN2 polyclonal antibody detects endogenous levels of CNN2 protein.
Store at 4°C. For long term storage store at -20°C.
Aliquot to avoid repeated freezing and thawing.
Immunofluorescence, Immunohistochemistry (PFA fixed), Western Blot
1 mg/mL
Rabbit polyclonal antibody raised against synthetic peptide of CNN2.
In PBS, pH 7.2 (0.05% sodium azide)
Q99439
Rabbit
Antigen affinity purification
RUO
1265
Human, Mouse
Liquid
Product Suggestions

Product Suggestions

Videos
SDS
Documents

Documents

Certificates
Promotions

Promotions

Product Content Correction

Your input is important to us. Please complete this form to provide feedback related to the content on this product.

Product Title

By clicking Submit, you acknowledge that you may be contacted by Fisher Scientific in regards to the feedback you have provided in this form. We will not share your information for any other purposes. All contact information provided shall also be maintained in accordance with our Privacy Policy.

Thank You! Your feedback has been submitted. Fisher Scientific is always working to improve our content for you. We appreciate your feedback.

For Research Use Only