missing translation for 'onlineSavingsMsg'
Learn More

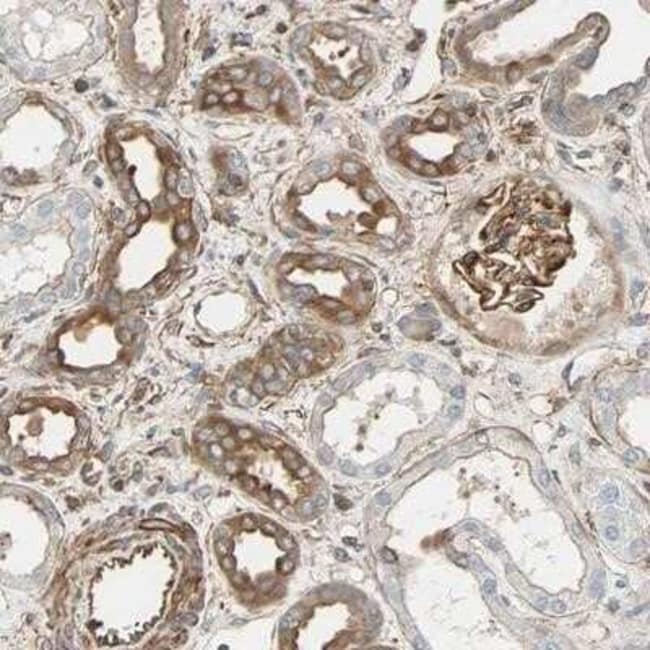
Polypeptide GalNac Transferase 10/GALNT10 Antibody, Novus Biologicals™

Rabbit Polyclonal Antibody

Brand:  Novus Biologicals NBP1-85069-25ul

 View more versions of this product

Product Code. 18486560

  • 280.00 € / 25µL

Please to purchase this item. Need a web account? Register with us today!

This item is not returnable. View return policy

Description

Description

Polypeptide GalNac Transferase 10/GALNT10 Polyclonal antibody specifically detects Polypeptide GalNac Transferase 10/GALNT10 in Human samples. It is validated for Immunohistochemistry, Immunohistochemistry (Paraffin)
TRUSTED_SUSTAINABILITY
Specifications

Specifications

Polypeptide GalNac Transferase 10/GALNT10
Polyclonal
Immunohistochemistry 1:200 - 1:500, Immunohistochemistry-Paraffin 1:200 - 1:500
DKFZp586H0623, EC 2.4.1.41, FLJ00205, FLJ11715, GalNAc transferase 10, GalNAc-T10, GALNACT10, Polypeptide GalNAc transferase 10, polypeptide N-acetylgalactosaminyltransferase 10, PPGALNACT10, pp-GaNTase 10, PPGANTASE10, Protein-UDP acetylgalactosaminyltransferase 10, UDP-GalNAc:polypeptide N-acetylgalactosaminyltransferase 10, UDP-N-acetyl-alpha-D-galactosamine:polypeptideN-acetylgalactosaminyltransferase 10 (GalNAc-T10)
This antibody was developed against Recombinant Protein corresponding to amino acids: AGQGSHSRQKKTFFLGDGQKLKDWHDKEAIRRDAQRVGNGEQGRPYPMTDAERVDQAYRENGFNIYVSDKISLNRSLPDIRHPNCNSKRYLETLPNTSIIIPFHNEGWSSLLRTVHSVLNRS
25 μL
Primary
Human
Purified
Immunohistochemistry, Immunohistochemistry (Paraffin)
Unconjugated
PBS (pH 7.2) and 40% Glycerol
Rabbit
Immunogen affinity purified
RUO
55568
Store at 4C short term. Aliquot and store at -20C long term. Avoid freeze-thaw cycles.
IgG
Product Suggestions

Product Suggestions

Videos
SDS
Documents

Documents

Certificates
Promotions

Promotions

Product Content Correction

Your input is important to us. Please complete this form to provide feedback related to the content on this product.

Product Title

By clicking Submit, you acknowledge that you may be contacted by Fisher Scientific in regards to the feedback you have provided in this form. We will not share your information for any other purposes. All contact information provided shall also be maintained in accordance with our Privacy Policy.

Thank You! Your feedback has been submitted. Fisher Scientific is always working to improve our content for you. We appreciate your feedback.