missing translation for 'onlineSavingsMsg'
Learn More
Learn More
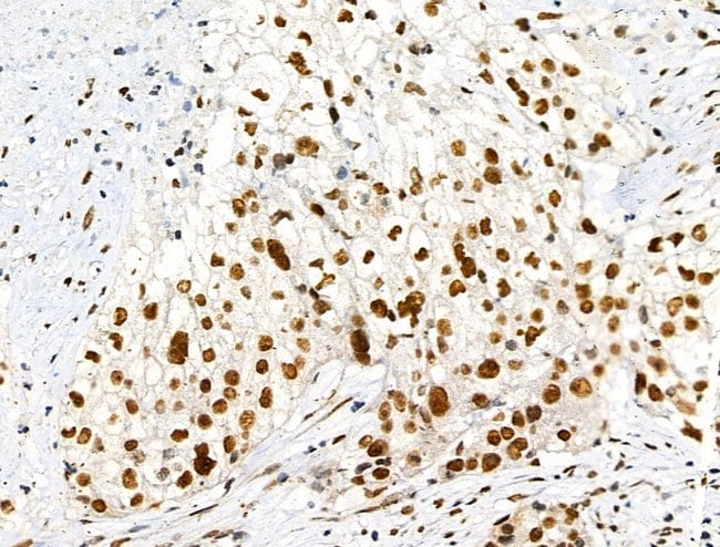
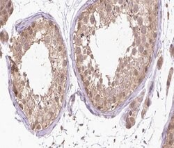
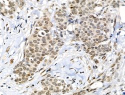
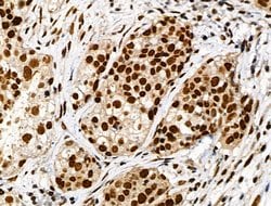
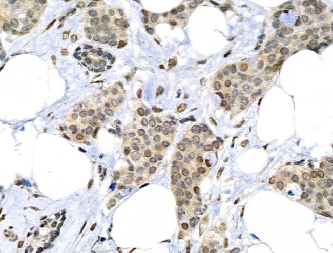
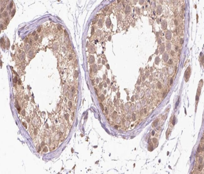
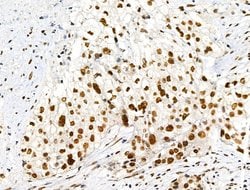
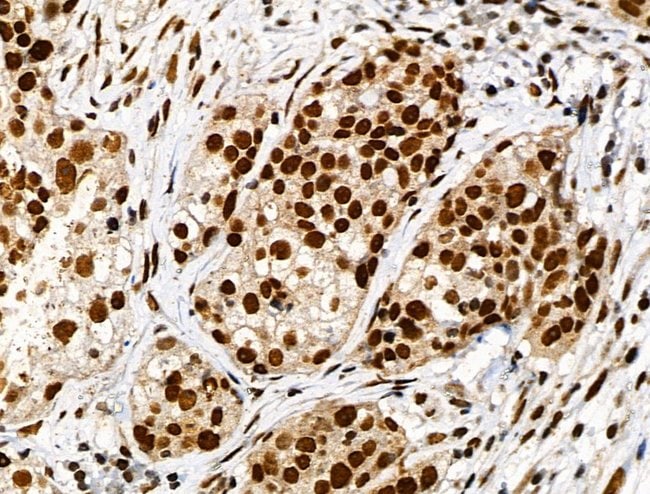
Invitrogen™ Phospho-RARA (Ser77) Polyclonal Antibody

Rabbit Polyclonal Antibody
Brand: Invitrogen™ PA5118496
This item is not returnable.
View return policy
Description
Antibody detects endogenous levels of Retinoic Acid Receptor alpha only when phosphorylated at Sersine 77.
RARA is a receptor for retinoic acid. Retinoic acid receptors bind as heterodimers to their target response elements in response to their ligands, all-trans or 9-cis retinoic acid, and regulate gene expression in various biological processes. The RXR/RAR heterodimers bind to the retinoic acid response elements (RARE) composed of tandem 5'-AGGTCA-3' sites known as DR1-DR5. In the absence of ligand, the RXR-RAR heterodimers associate with a multiprotein complex containing transcription corepressors that induce histone acetylation, chromatin condensation and transcriptional suppression. On ligand binding, the corepressors dissociate from the receptors and associate with the coactivators leading to transcriptional activation. RARA plays an essential role in the regulation of retinoic acid-induced germ cell development during spermatogenesis. Has a role in the survival of early spermatocytes at the beginning prophase of meiosis. In Sertoli cells, may promote the survival and development of early meiotic prophase spermatocytes. In concert with RARG, required for skeletal growth, matrix homeostasis and growth plate function. Regulates expression of target genes in a ligand-dependent manner by recruiting chromatin complexes containing KMT2E/MLL5. Mediates retinoic acid-induced granulopoiesis.
Specifications
| Phospho-RARA (Ser77) | |
| Polyclonal | |
| Unconjugated | |
| RARA | |
| Nr1b1; nuclear receptor subfamily 1 group B member 1; nucleophosmin-retinoic acid receptor alpha fusion protein NPM-RAR long form; RAR; RAR Alpha; RAR alpha 1; RARA; RAR-alpha; RARalpha1; retinoic acid; retinoic acid nuclear receptor alpha variant 1; retinoic acid nuclear receptor alpha variant 2; retinoic acid receptor; retinoic acid receptor alpha; retinoic acid receptor, alpha; retinoic acid receptor, alpha polypeptide; RRA | |
| Rabbit | |
| Sequential Chromatography | |
| RUO | |
| 19401, 24705, 5914 | |
| -20°C | |
| Liquid |
| Immunohistochemistry (Paraffin), Western Blot, Immunocytochemistry | |
| 1 mg/mL | |
| PBS with 50% glycerol and 0.02% sodium azide; pH 7.4 | |
| P10276, P11416 | |
| RARA | |
| A synthesized peptide derived from human RARA(Accession P10276), corresponding to amino acid residues around phosphorylated Ser77. | |
| 100 μL | |
| Primary | |
| Human, Mouse, Rat | |
| Antibody | |
| IgG |
Product Content Correction
Your input is important to us. Please complete this form to provide feedback related to the content on this product.
Product Title
Spot an opportunity for improvement?Share a Content Correction