missing translation for 'onlineSavingsMsg'
Learn More
Learn More
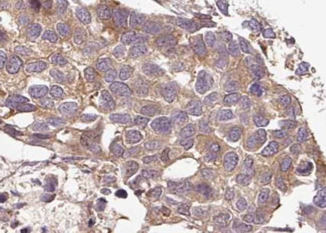
Invitrogen™ Phospho-G3BP1 (Ser232) Polyclonal Antibody

Rabbit Polyclonal Antibody
Brand: Invitrogen™ PA5104986
This item is not returnable.
View return policy
Description
Antibody detects endogenous levels of G3BP-1 only when phosphorylated at Serine 232.
This gene encodes one of the DNA-unwinding enzymes which prefers partially unwound 3'-tailed substrates and can also unwind partial RNA/DNA and RNA/RNA duplexes in an ATP-dependent fashion. This enzyme is a member of the heterogeneous nuclear RNA-binding proteins and is also an element of the Ras signal transduction pathway. It binds specifically to the Ras-GTPase-activating protein by associating with its SH3 domain. Several alternatively spliced transcript variants of this gene have been described, but the full-length nature of some of these variants has not been determined.
Specifications
| Phospho-G3BP1 (Ser232) | |
| Polyclonal | |
| Unconjugated | |
| G3BP1 | |
| AI849976; ATP-dependent DNA helicase VIII; B430204O07; C87777; DNA helicase VIII; G3BP; G3BP stress granule assembly factor 1; G3bp1; G3BP-1; GAP binding protein; GAP SH3 binding protein; GAP SH3 domain-binding protein 1; GTPase activating protein (SH3 domain) binding protein 1; hDH VIII; HDH-VIII; MGC111040; mKIAA4115; Ras GTPase-activating protein-binding protein 1; RasGAP-associated endoribonuclease G3BP; Ras-GTPase-activating protein SH3-domain binding protein 1; Ras-GTPase-activating protein SH3-domain-binding protein; RGD1310666 | |
| Rabbit | |
| Sequential Chromatography | |
| RUO | |
| 10146, 171092, 27041 | |
| -20°C | |
| Liquid |
| Immunohistochemistry (Paraffin), Western Blot, Immunocytochemistry | |
| 1 mg/mL | |
| PBS with 50% glycerol and 0.02% sodium azide; pH 7.4 | |
| P97855, Q13283 | |
| G3BP1 | |
| A synthesized peptide derived from human G3BP1(Accession Q13283), corresponding to amino acid residues around phosphorylated Ser232. | |
| 100 μL | |
| Primary | |
| Human, Mouse, Rat | |
| Antibody | |
| IgG |
Product Content Correction
Your input is important to us. Please complete this form to provide feedback related to the content on this product.
Product Title
Spot an opportunity for improvement?Share a Content Correction