missing translation for 'onlineSavingsMsg'
Learn More

Nuclear Pore-O-Linked Glycoprotein Antibody (RL1), Novus Biologicals™

Mouse Monoclonal Antibody has been used in 2 publications

Brand:  Novus Biologicals NB600-1068

Product Code. 18233363

This item is currently unavailable or has been discontinued.
View the product page for possible alternatives.
View alternative products »

This item is not returnable. View return policy

Description

Description

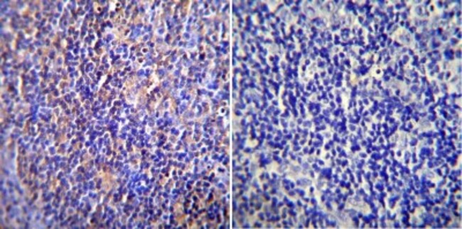
Nuclear Pore-O-Linked Glycoprotein Monoclonal specifically detects Nuclear Pore-O-Linked Glycoprotein in Human, Mouse, Rat, Mammal, Xenopus, Yeast samples. It is validated for Western Blot, Immunohistochemistry, Immunoprecipitation, Immunohistochemistry-Paraffin, Immunofluorescence.
TRUSTED_SUSTAINABILITY
Specifications

Specifications

Nuclear Pore-O-Linked Glycoprotein
Monoclonal
Unconjugated
Mouse
PEG purified
RUO
Detects nuclear pore-O-linked glycoprotein
Store at -20C. Avoid freeze-thaw cycles.
IgM
Western Blot, Immunohistochemistry, Immunoprecipitation, Immunohistochemistry (Paraffin), Immunofluorescence
RL1
Western Blot 1:1000, Immunohistochemistry 1:200, Immunoprecipitation 1:10 - 1:500, Immunohistochemistry-Paraffin 1:10 - 1:500, Immunofluorescence 1:100
Pore complex-lamina fraction purified from rat liver nuclear envelopes.
100 μL
Primary
Human, Mouse, Rat, Mammalia, Xenopus species, Yeast
Purified
Product Suggestions

Product Suggestions

Videos
SDS
Documents

Documents

Certificates
Promotions

Promotions

Product Content Correction

Your input is important to us. Please complete this form to provide feedback related to the content on this product.

Product Title

By clicking Submit, you acknowledge that you may be contacted by Fisher Scientific in regards to the feedback you have provided in this form. We will not share your information for any other purposes. All contact information provided shall also be maintained in accordance with our Privacy Policy.

Thank You! Your feedback has been submitted. Fisher Scientific is always working to improve our content for you. We appreciate your feedback.

For Research Use Only