missing translation for 'onlineSavingsMsg'
Learn More

NHEJ1 Monoclonal Antibody (OTI1F3), TrueMAB™, OriGene

Product Code. 17515731
Encompass_Preferred
Change view
Click to view available options
Quantity:
30 μL
100 μL
Unit Size:
100µL
30µL
2 product options available for selection
Product selection table with 2 available options. Use arrow keys to navigate and Enter or Space to select.
Product Code. Quantity unitSize
17515731 100 μL 100µL
17535731 30 μL 30µL
Use arrow keys to navigate between rows. Press Enter or Space to select a product option. 2 options available.
2 options
This item is not returnable. View return policy
Product Code. 17515731 Supplier Origene Technologies Supplier No. TA502003

Please to purchase this item. Need a web account? Register with us today!

This item is not returnable. View return policy

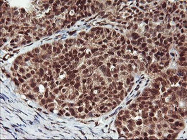
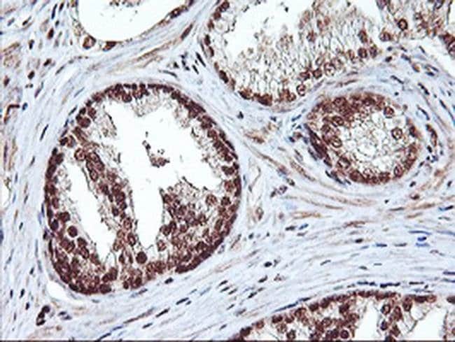
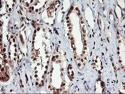
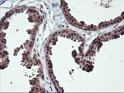
Mouse Monoclonal Antibody

Double-strand breaks in DNA result from genotoxic stresses and are among the most damaging of DNA lesions. This gene encodes a DNA repair factor essential for the nonhomologous end-joining pathway, which preferentially mediates repair of double-stranded breaks. Mutations in this gene cause different kinds of severe combined immunodeficiency disorders.

Specifications

Antigen NHEJ1
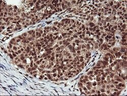
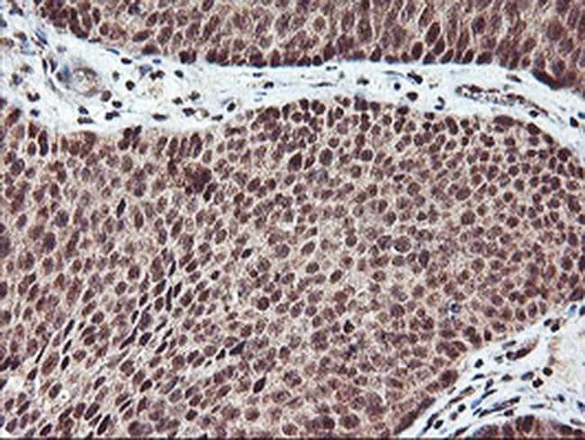
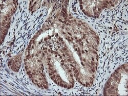
Applications Immunocytochemistry, Immunofluorescence, Immunohistochemistry (Paraffin), Western Blot
Classification Monoclonal
Clone OTI1F3
Concentration 0.77 mg/mL
Conjugate Unconjugated
Formulation PBS with 1% BSA, 50% glycerol and 0.02% sodium azide
Gene NHEJ1
Gene Accession No. Q9H9Q4
Gene Alias XLF
Gene Symbols NHEJ1
Host Species Mouse
Immunogen Full length human recombit protein of human NHEJ1 produced in HEK293T cell.
Purification Method Affinity Chromatography
Quantity 100 μL
Regulatory Status RUO
Primary or Secondary Primary
Gene ID (Entrez) 79840
Target Species Human
Content And Storage -20° C, Avoid Freeze/Thaw Cycles
Product Type Antibody
Form Liquid
Isotype IgG2b
Show More Show Less
Product Title
Select an issue

By clicking Submit, you acknowledge that you may be contacted by Fisher Scientific in regards to the feedback you have provided in this form. We will not share your information for any other purposes. All contact information provided shall also be maintained in accordance with our Privacy Policy.