missing translation for 'onlineSavingsMsg'
Learn More

MLH1 Monoclonal Antibody (OTI1C1), TrueMAB™, OriGene

Mouse Monoclonal Antibody

Brand:  Origene Technologies TA805066

Encompass_Preferred

 View more versions of this product

Product Code. 17534873

  • 540.87 € / 100µL

Please to purchase this item. Need a web account? Register with us today!

This item is not returnable. View return policy

Description

Description

MLH1 is a DNA mismatch repair protein. The repair of mismatch DNA is essential to maintaining the integrity of genetic information over time. An alteration of microsatellite repeats is the result of slippage owing to strand misalignment during DNA replication and is referred to as microsatellite instability (MSI). These defects in DNA repair pathways have been related to human carcinogenesis. The importance of mismatch repair genes became apparent with the identification of the genetic basis for hereditary nonpolyposis colon cancer (HNPC). MSHS2 is involved in the initial cognition of mismatch nucleotides during the replication mismatch repair process. It is thought that after MSH2 binds to a mismatched DNA duplex it is joined by a heterodimer of MLH1 and PMSH, which together help facilitate the later steps in mismatch repair.
Specifications

Specifications

MLH1
Monoclonal
1 mg/mL
PBS with 1% BSA, 50% glycerol and 0.02% sodium azide
P40692
MLH1
Human recombit protein fragment corresponding to amino acids 299-527 of human MLH1 produced in E.coli.
100 μL
Primary
Human
Antibody
IgG1
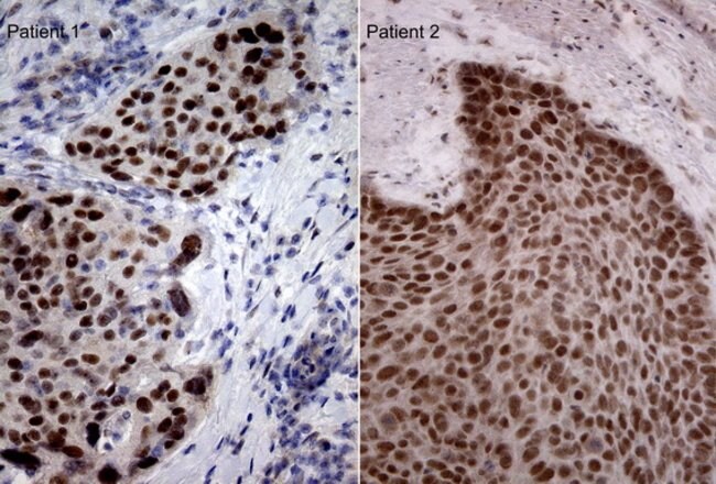
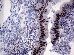
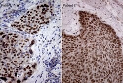
Immunohistochemistry (Paraffin)
OTI1C1
Unconjugated
MLH1
COCA2, FCC2, HNPCC, HNPCC2, hMLH1
Mouse
Affinity Chromatography
RUO
4292
-20° C, Avoid Freeze/Thaw Cycles
Liquid
Product Suggestions

Product Suggestions

Videos
SDS
Documents

Documents

Certificates
Promotions

Promotions

Product Content Correction

The Fisher Scientific Encompass Program offers items which are not part of our distribution portfolio. These products typically do not have pictures or detailed descriptions. However, we are committed to improving your shopping experience. Please use the form below to provide feedback related to the content on this product.

Product Title

By clicking Submit, you acknowledge that you may be contacted by Fisher Scientific in regards to the feedback you have provided in this form. We will not share your information for any other purposes. All contact information provided shall also be maintained in accordance with our Privacy Policy.

Thank You! Your feedback has been submitted. Fisher Scientific is always working to improve our content for you. We appreciate your feedback.