missing translation for 'onlineSavingsMsg'
Learn More
Learn More
Description
Immunogen sequence: QQHQALQTNW HLPQMSSPPS AARHSLCLQP DSGGPPELGS SPPVLCSNSS SLGSSTPTGA ACAPGDYGRQ ALSPAEAEKR SGGKR Highest antigen sequence identity to the following orthologs: Mouse - 95%, Rat - 96%.
Mesodermal transcription factor that plays a key role in somitogenesis and is required for sclerotome development. Activates expression of CDKN1A and CDKN2A in endothelial cells, acting as a regulator of vascular cell proliferation. While it activates CDKN1A in a DNA-dependent manner, it activates CDKN2A in a DNA-independent manner. May have a regulatory role when quiescent vascular smooth muscle cells reenter the cell cycle.
Specifications
Specifications
| Antigen | MEOX2 |
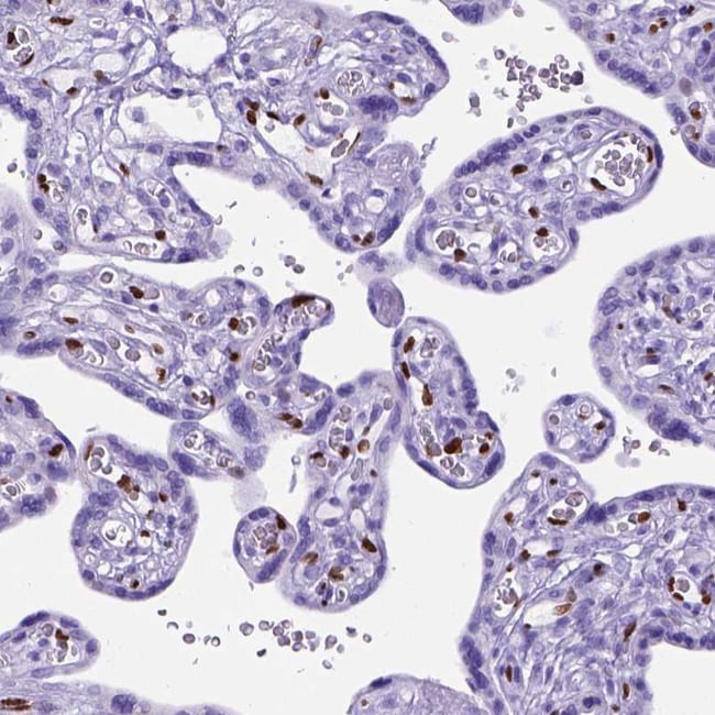
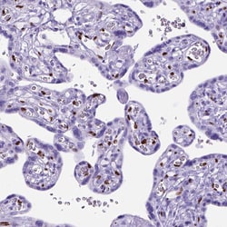
| Applications | Immunohistochemistry (Paraffin), Western Blot |
| Classification | Polyclonal |
| Concentration | 0.2 mg/mL |
| Conjugate | Unconjugated |
| Formulation | PBS with 40% glycerol and 0.02% sodium azide; pH 7.2 |
| Gene | MEOX2 |
| Gene Accession No. | P50222 |
| Gene Alias | AI528662; GAX; Growth arrest-specific homeobox; homeobox protein MOX-2; MEOX2; mesenchyme homeo box 2 (growth arrest-specific homeo box); mesenchyme homeobox 2; Mox2; Mox-2 |
| Gene Symbols | MEOX2 |
| Show More |
Product Title
By clicking Submit, you acknowledge that you may be contacted by Fisher Scientific in regards to the feedback you have provided in this form. We will not share your information for any other purposes. All contact information provided shall also be maintained in accordance with our Privacy Policy.
Spot an opportunity for improvement?
