missing translation for 'onlineSavingsMsg'
Learn More
Learn More
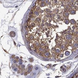
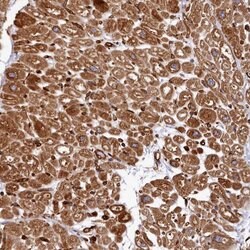
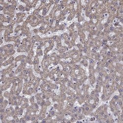
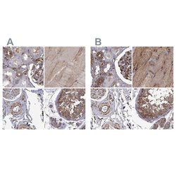
Description
Immunogen sequence: PPAQALEIMM GLKTTDMAPS KETEMALAKD MALATKTEVA LAKDMESPTK LDVTLAKDMQ PSMESDMALV KDMELPTEKE VALVKDVRWP TETDVSSAKN VV Highest antigen sequence identity to the following orthologs: Mouse - 48%, Rat - 47%.
The protein encoded by this gene is a major non-neuronal microtubule-associated protein. This protein contains a domain similar to the microtubule-binding domains of neuronal microtubule-associated protein (MAP2) and microtubule-associated protein tau (MAPT/TAU). This protein promotes microtubule assembly, and has been shown to counteract destabilization of interphase microtubule catastrophe promotion. Cyclin B was found to interact with this protein, which targets cell division cycle 2 (CDC2) kinase to microtubules. The phosphorylation of this protein affects microtubule properties and cell cycle progression. Multiple transcript variants encoding different isoforms have been found for this gene. [provided by RefSeq].
Specifications
Specifications
| Antigen | MAP4 |
| Applications | Immunohistochemistry (Paraffin), Immunocytochemistry |
| Classification | Polyclonal |
| Concentration | 0.1 mg/mL |
| Conjugate | Unconjugated |
| Formulation | PBS with 40% glycerol and 0.02% sodium azide; pH 7.2 |
| Gene | MAP4 |
| Gene Accession No. | P27816 |
| Gene Alias | AA407148; MAP 4; Map4; MAP-4; microtubule associated protein 4; microtubule-associated protein 4; Mtap4; Mtap-4 |
| Gene Symbols | MAP4 |
| Show More |
Product Title
By clicking Submit, you acknowledge that you may be contacted by Fisher Scientific in regards to the feedback you have provided in this form. We will not share your information for any other purposes. All contact information provided shall also be maintained in accordance with our Privacy Policy.
Spot an opportunity for improvement?
