missing translation for 'onlineSavingsMsg'
Learn More
Learn More
Description
Immunogen sequence: SDDEVWVQVA PQRNAQDQQG SL Highest antigen sequence identity to the following orthologs: Mouse - 77%, Rat - 41%.
The protein encoded by this gene is a transcriptional activator, having been shown to increase the transcription of activator protein-1 and serum response element. The encoded protein can also form a complex with KBTBD6 and CUL3, which regulates the ubiquitylation and degradation of TIAM1, which is a regulator of RAC1.
Specifications
Specifications
| Antigen | KBTBD7 |
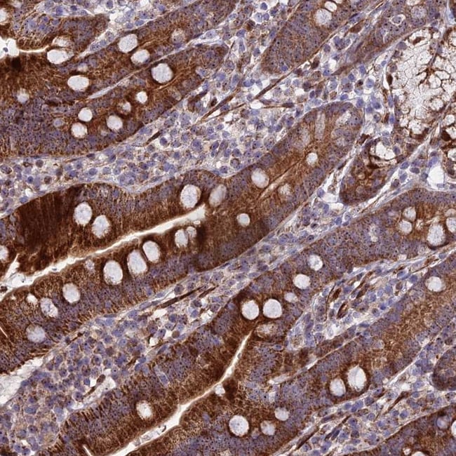
| Applications | Immunohistochemistry (Paraffin), Western Blot |
| Classification | Polyclonal |
| Concentration | 0.1 mg/mL |
| Conjugate | Unconjugated |
| Formulation | PBS with 40% glycerol and 0.02% sodium azide; pH 7.2 |
| Gene | KBTBD7 |
| Gene Accession No. | Q8WVZ9 |
| Gene Alias | KBTBD7; kelch repeat and BTB (POZ) domain containing 7; kelch repeat and BTB domain containing 7; kelch repeat and BTB domain-containing protein 7; kelch repeat and BTB domain-containing protein 7-like |
| Gene Symbols | KBTBD7 |
| Show More |
Product Title
By clicking Submit, you acknowledge that you may be contacted by Fisher Scientific in regards to the feedback you have provided in this form. We will not share your information for any other purposes. All contact information provided shall also be maintained in accordance with our Privacy Policy.
Spot an opportunity for improvement?
