Learn More
Invitrogen™ IL1RA Polyclonal Antibody

Rabbit Polyclonal Antibody
Brand: Invitrogen™ PA521776
Description
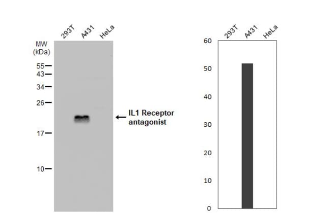
Recommended positive controls: Raji, Neuro2A, C8D30, NIH-3T3, Raw264.7, C2C12, PC-12. Predicted reactivity: Dog (84%), Pig (82%), Bovine (82%). Store product as a concentrated solution. Centrifuge briefly prior to opening the vial.
The protein encoded by this gene is a cytokine receptor that belongs to the interleukin 1 receptor family. This protein is a receptor for interleukin alpha (IL1A), interleukin beta (IL1B), and interleukin 1 receptor, type I(IL1R1/IL1RA). It is an important mediator involved in many cytokine induced immune and inflammatory responses. This gene along with interleukin 1 receptor, type II (IL1R2), interleukin 1 receptor-like 2 (IL1RL2), and interleukin 1 receptor-like 1 (IL1RL1) form a cytokine receptor gene cluster in a region mapped to chromosome 2q12.
Specifications
| IL1RA | |
| Polyclonal | |
| Unconjugated | |
| IL1RN | |
| Anakinra; CD121A; cytokine; D2S1473; DIRA; F630041P17Rik; ICIL-1RA; IL 1 receptor antagonist; IL1 inhibitor; il1 receptor; il-1 receptor; IL1 receptor antagonist; IL1F3; IL1R; il-1r; IL1RA; IL-1RA; IL1-RA; IL-1ra3; IL-1R-alpha; IL1RN; IL-1RN; IL1RN (IL1F3); interleukin 1 receptor antagonist; interleukin-1 receptor; interleukin-1 receptor antagonist; interleukin-1 receptor antagonist protein; interleukin-1 receptor antagonist secretory form; intracellular IL-1 receptor antagonist type II; intracellular interleukin-1 receptor antagonist (icIL-1ra); IRAP; IRAP1; MGC10430; MVCD4; P80; type II interleukin-1 receptor antagonist | |
| Rabbit | |
| Antigen affinity chromatography | |
| RUO | |
| 3557 | |
| Store at 4°C short term. For long term storage, store at -20°C, avoiding freeze/thaw cycles. | |
| Liquid |
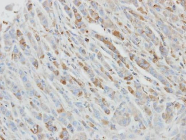
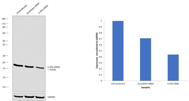
| Immunohistochemistry (Paraffin), Western Blot, Immunocytochemistry | |
| 0.44 mg/mL | |
| PBS with 1% BSA, 20% glycerol and 0.025% ProClin 300; pH 7 | |
| P18510 | |
| IL1RN | |
| Recombinant protein encompassing a sequence within the center region of human IL1 Receptor antagonist. The exact sequence is proprietary. | |
| 100 μL | |
| Primary | |
| Human, Mouse, Rat | |
| Antibody | |
| IgG |
Your input is important to us. Please complete this form to provide feedback related to the content on this product.