Learn More
Invitrogen™ Glutamine Synthetase Polyclonal Antibody

Rabbit Polyclonal Antibody
Brand: Invitrogen™ PA5120915
Description
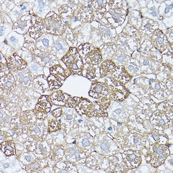
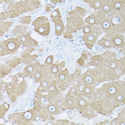
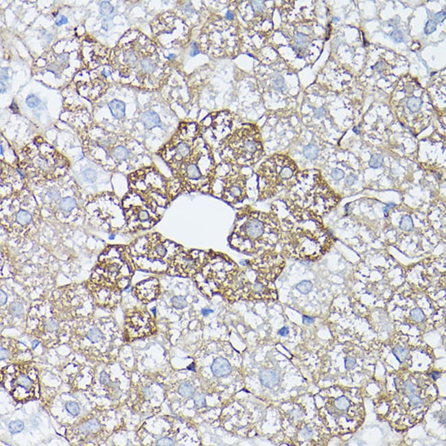
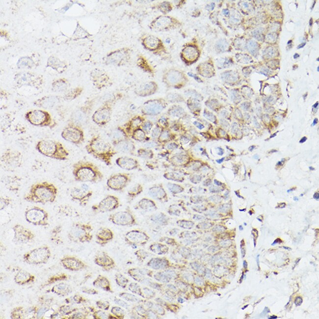
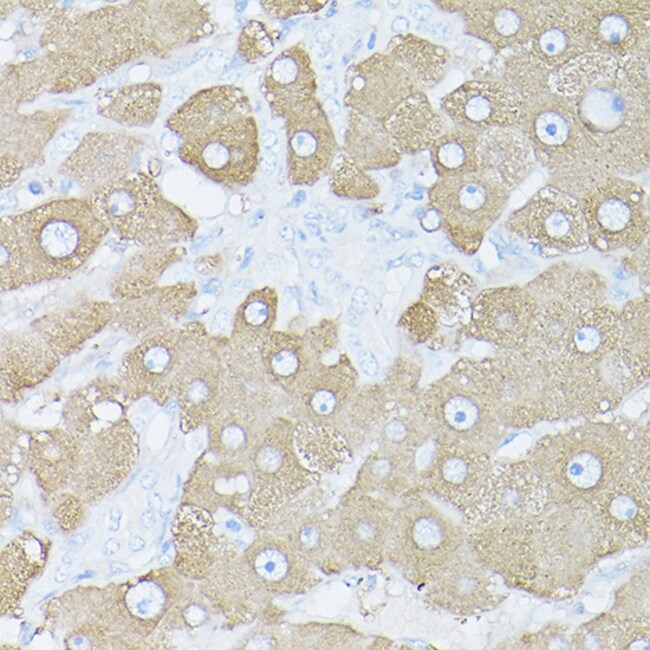
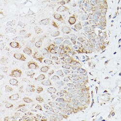
Positive test controls include: 293T, Mouse brain, Rat brain. The target is usually found in the following locations: Cytoplasm, Mitochondrion. Immunogen sequence: MTTSASSHLN KGIKQVYMSL PQGEKVQAMY IWIDGTGEGL RCKTRTLDSE PKCVEELPEW NFDGSSTLQS EGSNSDMYLV PAAMFRDPFR KDPNKLVLCE VFKYNRRPAE TNLRHTCKRI MDMVSNQHPW FGMEQEYTLM GTDGHPFGWP SNGFPGPQGP YYCGVGADRA YGRDIVEAHY RACLYAGVKI AGTNAEVMPA QWEFQIGPCE GISMGDHLWV ARFILHRVCE DFGVIATFDP KPIPGNWNGA GCHTNFSTKA MREENGLKYI EEAIEKLSKR HQYHIRAYDP KGGLDNARRL TGFHETSNIN DFSAGVANRS ASIRIPRTVG QEKKGYFEDR RPSANCDPFS VTEALIRTCL LNETGDEPFQ YKN.
Glutamine synthase is part of the glutamine synthetase family. Ammonia incorporation in animals occurs through the actions of glutamate dehydrogenase and glutamine synthase. Glutamate plays the central role in mammalian nitrogen flow, serving as both a nitrogen donor and nitrogen acceptor. It also has an important role in controlling metabolic regulations of neurotransmitter glutamate. Because of the multiple functions and importance of GS in cellular metabolism, both catalytic activities and synthesis are highly regulated. The activity of GS is controlled by adenylylation. Its activity is decreased in the cerebral cortex of brains affected by Alzheimer's disease, particularly in the vicinity of senile plaques. It is also decreased under conditions of glucose deprivation.
Specifications
| Glutamine Synthetase | |
| Polyclonal | |
| Unconjugated | |
| GLUL | |
| cell proliferation-inducing protein 59; GLNA; GLNS; Glul; GLUL protein; Glutamate ammonia ligase; glutamate decarboxylase; glutamate-ammonia ligase; glutamate--ammonia ligase; glutamate-ammonia ligase (glutamine synthase); glutamate-ammonia ligase (glutamine synthetase); glutamine synthase; glutamine synthetase; Glutamine synthetase (glutamate-ammonia ligase); glutamine synthetase 1; glutamine synthetase I; GS; Palmitoyltransferase GLUL; PIG43; PIG59; Proliferation inducing protein 43; proliferation-inducing protein 43 | |
| Rabbit | |
| Affinity chromatography | |
| RUO | |
| 14645, 24957, 2752 | |
| -20°C, Avoid Freeze/Thaw Cycles | |
| Liquid |
| ELISA, Immunohistochemistry (Paraffin), Western Blot, Immunocytochemistry | |
| 0.44 mg/mL | |
| PBS with 50% glycerol and 0.02% sodium azide; pH 7.3 | |
| P09606, P15104, P15105 | |
| GLUL | |
| Recombinant fusion protein containing a sequence corresponding to amino acids 1-373 of human Glutamine Synthetase (GLUL) (NP_0020562). | |
| 100 μL | |
| Primary | |
| Human, Mouse, Rat | |
| Antibody | |
| IgG |
Your input is important to us. Please complete this form to provide feedback related to the content on this product.