missing translation for 'onlineSavingsMsg'
Learn More

FOXA2 Mouse anti-Human, Clone: OTI3C10, lyophilized, TrueMAB™

Mouse Monoclonal Antibody

Brand:  Origene Technologies CF500073

Encompass_Preferred

Product Code. 17650351

  • 726.00 € / 100µg

Please to purchase this item. Need a web account? Register with us today!

This item is not returnable. View return policy

Description

Description

Reconstitute with PBS (pH 7.3) and recommend to perform another round of desalting process using Product No. 7KMWCO

FOXA2 is a member of the forkhead class of DNA-binding proteins. These hepatocyte nuclear factors are transcriptional activators for liver-specific genes such as albumin and transthyretin. They also interact with chromatin. Similar family members in mice have roles in the regulation of metabolism and in the differentiation of the pancreas and liver. FOXA2 has been linked to sporadic cases of maturity-onset diabetes of the young. Transcript variants encoding different isoforms have been identified.
Specifications

Specifications

FOXA2
Monoclonal
Unconjugated
FOXA2
HNF3B, TCF3B
Mouse
Affinity Chromatography
RUO
3170
-20° C, Avoid Freeze/Thaw Cycles
Lyophilized
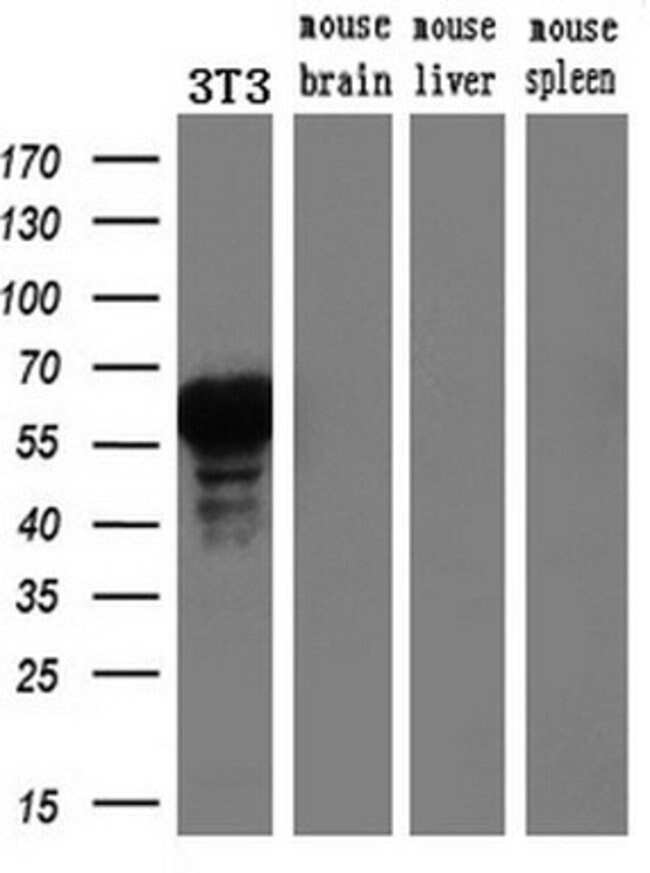
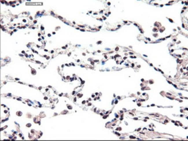
Immunohistochemistry (Paraffin), Western Blot
OTI3C10
PBS with 8% trehalose and no preservative; pH 7.3
Q9Y261
FOXA2
Recombit protein expressed in E.coli corresponding to amino acids 300-458 of human FOXA2
100 μg
Primary
Human
Antibody
IgG1
Product Suggestions

Product Suggestions

Videos
SDS
Documents

Documents

Product Certifications
Promotions

Promotions

Product Content Correction

The Fisher Scientific Encompass Program offers items which are not part of our distribution portfolio. These products typically do not have pictures or detailed descriptions. However, we are committed to improving your shopping experience. Please use the form below to provide feedback related to the content on this product.

Product Title

By clicking Submit, you acknowledge that you may be contacted by Fisher Scientific in regards to the feedback you have provided in this form. We will not share your information for any other purposes. All contact information provided shall also be maintained in accordance with our Privacy Policy.

Thank You! Your feedback has been submitted. Fisher Scientific is always working to improve our content for you. We appreciate your feedback.