missing translation for 'onlineSavingsMsg'
Learn More

eNOS, p Ser1177 Antibody - Azide and BSA Free, Novus Biologicals™

Rabbit Polyclonal Antibody

Brand:  Novus Biologicals NBP3-05432

Product Code. 18611447

  • 501.00 € / 100µL

Please to purchase this item. Need a web account? Register with us today!

This item is not returnable. View return policy

Description

Description

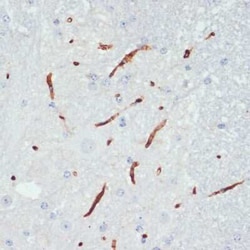
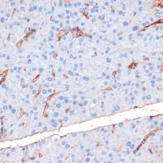
eNOS Polyclonal antibody specifically detects eNOS in Human, Mouse samples. It is validated for Western Blot, Immunohistochemistry, Immunohistochemistry (Paraffin)
TRUSTED_SUSTAINABILITY
Specifications

Specifications

eNOS
Polyclonal
Western Blot 1:500 - 1:2000, Immunohistochemistry 1:50-1:200, Immunohistochemistry-Paraffin
Constitutive NOS, EC 1.14.13.39, ECNOS, endothelial, Endothelial NOS, eNOScNOS, nitric oxide synthase 3 (endothelial cell), NOS type III, NOSIII
A synthetic phosphorylated peptide around S1177 of human eNOS (NP_000594.2). TQSFS
100 μg
Cancer, HIF Target Genes, Hypoxia, Neuroscience, Neurotransmission, Phospho Specific
4846
Store at -20°C. Avoid freeze-thaw cycles.
IgG
Western Blot, Immunohistochemistry, Immunohistochemistry (Paraffin)
Unconjugated
PBS with 50% glycerol, pH7.3.
Rabbit
Affinity purified
RUO
Primary
Human, Mouse
Purified
Product Suggestions

Product Suggestions

Videos
SDS
Documents

Documents

Certificates
Promotions

Promotions

Product Content Correction

Your input is important to us. Please complete this form to provide feedback related to the content on this product.

Product Title

By clicking Submit, you acknowledge that you may be contacted by Fisher Scientific in regards to the feedback you have provided in this form. We will not share your information for any other purposes. All contact information provided shall also be maintained in accordance with our Privacy Policy.

Thank You! Your feedback has been submitted. Fisher Scientific is always working to improve our content for you. We appreciate your feedback.