missing translation for 'onlineSavingsMsg'
Learn More

Invitrogen™ CaV1.1 Polyclonal Antibody

Product Code. 17961531
Change view
Click to view available options
Quantity:
100 μg
Unit Size:
100µg
1 product options available for selection
Product selection table with 1 available options. Use arrow keys to navigate and Enter or Space to select.
Product Code. Quantity unitSize
17961531 100 μg 100µg
Use arrow keys to navigate between rows. Press Enter or Space to select a product option. 1 options available.
1 options
This item is not returnable. View return policy
Product Code. 17961531 Supplier Invitrogen™ Supplier No. PA5143892

Please to purchase this item. Need a web account? Register with us today!

This item is not returnable. View return policy

Rabbit Polyclonal Antibody

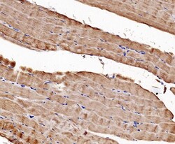
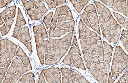
Adding 0.2 mL of distilled water will yield a concentration of 500 μg/mL. Positive Control - WB: monkey skeletal muscle tissue, rat skeletal muscle tissue, mouse skeletal muscle tissue. IHC: human skeletal muscle tissue, rat skeletal muscle tissue. Flow: U937 cell. Store at -20°C for one year from date of receipt. After reconstitution, at 4°C for one month. It can also be aliquotted and stored frozen at -20°C for six months. Avoid repeated freeze-thaw cycles.

Voltage-sensitive calcium channels mediate the entry of calcium into many types of excitable cells and thus play a key role in neurotransmitter release and excitation-contraction (E-C) coupling. The 1,4-dihydropyridines (DHPs) are synthetic organic compounds which can be used to identify the L-type calcium channels that are found in all types of vertebrate muscle, neuronal and neuroendocrine cells. The DHP receptor is part of the L-type calcium channel complex and is thought to be the voltage sensor in E-C coupling. The purified DHP receptor isolated from triads is composed of at least four subunits. The alpha-1 subunit contains the binding site for the DHPs and shows high sequence homology to the voltage gated sodium channel. The alpha-2 subunit is a large glycoprotein associated with the DHP receptor which was first described in skeletal muscle and is also found in high concentrations in other excitable tissues such as cardiac muscle and brain and in low concentrations in most other tissues studied. The other two subunits that co-purify with the DHP receptor are termed beta and gamma.
TRUSTED_SUSTAINABILITY

Specifications

Antigen CaV1.1
Applications ELISA, Flow Cytometry, Immunohistochemistry (Paraffin), Western Blot
Classification Polyclonal
Concentration 500 μg/mL
Conjugate Unconjugated
Formulation PBS with 4mg trehalose and 0.005mg sodium azide
Gene CACNA1S
Gene Accession No. Q02485, Q02789, Q13698
Gene Alias AW493108; CACH1; Cacn1; Cacna1s; Cacnl1a3; calcium channel, L type, alpha 1 polypeptide, isoform 3 (skeletal muscle, hypokalemic periodic paralysis); calcium channel, L type, alpha-1 polypeptide, isoform 3, skeletal muscle; calcium channel, voltage-dependent, L type, alpha 1S subunit; calcium voltage-gated channel subunit alpha1 S; Cav1.1; Cav1.1 alpha-1; CCHL1A3; DHP; DHPR; DHPR alpha1s; dihydropyridine calcium channel receptor protein; dihydropyridine receptor; dihydropyridine receptor alpha 1 subunit; dihydropyridine receptor alpha 1S; dihydropyridine receptor alpha-1S subunit; dihydropyridine-sensitive L-type calcium channel alpha-1 subunit; fmd; HOKPP; HOKPP1; hypoPP; mdg; MHS5; muscle dysgenesis; ROB1; sj; TTPP1; unnamed protein product; voltage-dependent L-type calcium channel subunit alpha-1S; Voltage-gated calcium channel subunit alpha Cav1.1
Gene Symbols CACNA1S
Host Species Rabbit
Immunogen E.coli-derived human CACNA1S recombinant protein (Position: E1583-C1779).
Purification Method Antigen affinity chromatography
Quantity 100 μg
Regulatory Status RUO
Primary or Secondary Primary
Gene ID (Entrez) 12292, 682930, 779
Target Species Human, Mouse, Monkey, Rat
Content And Storage -20°C
Product Type Antibody
Form Lyophilized
Isotype IgG
Show More Show Less
Product Title
Select an issue

By clicking Submit, you acknowledge that you may be contacted by Fisher Scientific in regards to the feedback you have provided in this form. We will not share your information for any other purposes. All contact information provided shall also be maintained in accordance with our Privacy Policy.