missing translation for 'onlineSavingsMsg'
Learn More

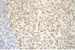
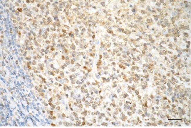
Invitrogen™ Caspase 3 p12 Recombinant Rabbit Monoclonal Antibody (23GB3310), Invitrogen™

Product Code. 30088529
Change view
Click to view available options
Quantity:
20 μL
100 μL
Unit Size:
100µL
20µL
2 product options available for selection
Product selection table with 2 available options. Use arrow keys to navigate and Enter or Space to select.
Product Code. Quantity unitSize
30088529 20 μL 20µL
30087897 100 μL 100µL
Use arrow keys to navigate between rows. Press Enter or Space to select a product option. 2 options available.
2 options
This item is not returnable. View return policy
Product Code. 30088529 Supplier Invitrogen™ Supplier No. MA553371

Please to purchase this item. Need a web account? Register with us today!

This item is not returnable. View return policy

Rabbit Recombinant Monoclonal Antibody

This gene encodes a protein which is a member of the cysteine-aspartic acid protease (caspase) family. Sequential activation of caspases plays a central role in the execution-phase of cell apoptosis. Caspases exist as inactive proenzymes which undergo proteolytic processing at conserved aspartic residues to produce two subunits, large and small, that dimerize to form the active enzyme. This protein cleaves and activates caspases 6, 7 and 9, and the protein itself is processed by caspases 8, 9 and 10. It is the predominant caspase involved in the cleavage of amyloid-beta 4A precursor protein, which is associated with neuronal death in Alzheimer's disease. Alternative splicing of this gene results in two transcript variants that encode the same protein.
TRUSTED_SUSTAINABILITY

Specifications

Antigen Caspase 3 p12
Applications Flow Cytometry, Immunohistochemistry (Paraffin), Western Blot, Immunocytochemistry
Classification Recombinant Monoclonal
Clone 23GB3310
Concentration 3 mg/mL
Conjugate Unconjugated
Formulation PBS with 50% glycerol and 0.02% sodium azide; pH 7.4
Gene CASP3
Gene Accession No. P42574, P55213, P70677
Gene Alias A830040C14Rik; AC-3; Apopain; CASP3; CASP-3; caspase 3; Caspase 3 apoptosis related cysteine protease (ICE-like cysteine protease); caspase 3, apoptosis related cysteine protease; Caspase 3, apoptosis related cysteine protease (ICE-like cysteine protease); caspase 3, apoptosis-related cysteine peptidase; caspase 3, apoptosis-related cysteine protease; caspase-3; Caspase-3 subunit p12; Caspase-3 subunit p17; CC3; Cleaved Caspase 3; CPP32; CPP-32; CPP32B; CPP32beta; cysteine protease CPP32; IRP; LICE; mldy; PARP cleavage protease; procaspase3; protein Yama; SCA-1; SREBP cleavage activity 1; Yama; yama protein
Gene Symbols CASP3
Host Species Rabbit
Immunogen A synthetic peptide of human Caspase-3 p12 (176-277AA).
Purification Method Affinity chromatography
Quantity 20 μL
Regulatory Status RUO
Primary or Secondary Primary
Gene ID (Entrez) 12367, 25402, 836
Target Species Human, Mouse, Rat
Content And Storage -20°C
Product Type Antibody
Form Liquid
Isotype IgG
Show More Show Less
Product Title
Select an issue

By clicking Submit, you acknowledge that you may be contacted by Fisher Scientific in regards to the feedback you have provided in this form. We will not share your information for any other purposes. All contact information provided shall also be maintained in accordance with our Privacy Policy.