missing translation for 'onlineSavingsMsg'
Learn More
Learn More
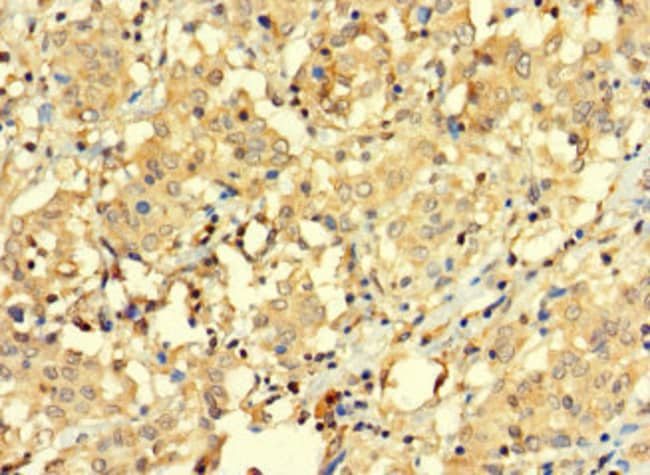
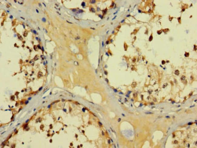
Invitrogen™ BAGE3 Polyclonal Antibody

Description
BAGE3 Polyclonal Antibody for IHC (P), ELISA
Specifications
Specifications
| Antigen | BAGE3 |
| Applications | ELISA, Immunohistochemistry (Paraffin) |
| Classification | Polyclonal |
| Concentration | 3 mg/mL |
| Conjugate | Unconjugated |
| Formulation | PBS with 50% glycerol and 0.03% Proclin 300; pH 7.4 |
| Gene | BAGE3 |
| Gene Accession No. | Q86Y29 |
| Gene Alias | B melanoma antigen 3; B melanoma antigen family member 3; B melanoma antigen family, member 3; BAGE3; Cancer/testis antigen 2.3; cancer/testis antigen family 2, member 3; CT2.3 |
| Gene Symbols | BAGE3 |
| Show More |
Product Title
By clicking Submit, you acknowledge that you may be contacted by Fisher Scientific in regards to the feedback you have provided in this form. We will not share your information for any other purposes. All contact information provided shall also be maintained in accordance with our Privacy Policy.
Spot an opportunity for improvement?