missing translation for 'onlineSavingsMsg'
Learn More
Learn More
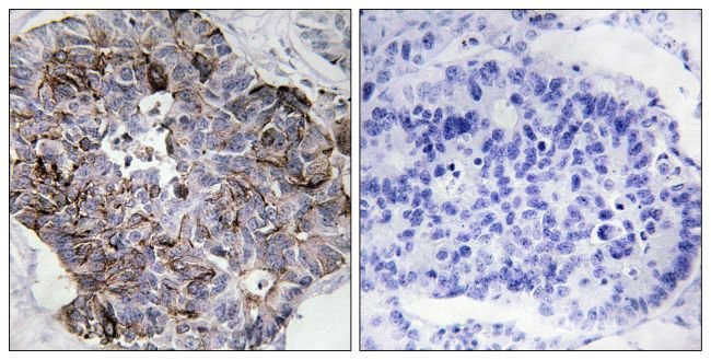
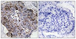
MRLC2 Polyclonal Antibody, Invitrogen™
Description
The activity of nonmuscle myosin II (see MYH9; MIM 160775) is regulated by phosphorylation of a regulatory light chain, such as MRLC2. This phosphorylation results in higher MgATPase activity and the assembly of myosin II filaments (Iwasaki et al., 2001 [PubMed 11942626]).[supplied by OMIM, Mar 2008].
Specifications
Specifications
| Antigen | MRLC2 |
| Applications | Immunofluorescence, Immunohistochemistry (Paraffin), Western Blot |
| Classification | Polyclonal |
| Concentration | 1 mg/mL |
| Conjugate | Unconjugated |
| Formulation | Dulbecco′s PBS with 150mM NaCl, 50% glycerol and 0.02% sodium azide; pH 7.4 |
| Gene | MYL12B |
| Gene Accession No. | O14950, Q3THE2, P18666 |
| Gene Alias | MRLC2, MYLC2B |
| Gene Symbols | MYL12B |
| Show More |
Product Title
By clicking Submit, you acknowledge that you may be contacted by Fisher Scientific in regards to the feedback you have provided in this form. We will not share your information for any other purposes. All contact information provided shall also be maintained in accordance with our Privacy Policy.
Spot an opportunity for improvement?