missing translation for 'onlineSavingsMsg'
Learn More

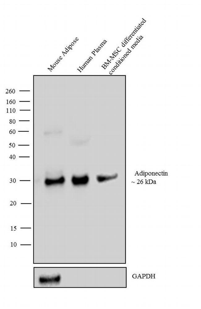
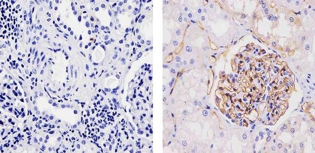
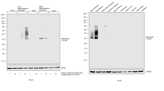
Adiponectin Recombinant Superclonal™ Antibody

Adiponectin Recombinant Polyclonal Antibody

Brand:  Invitrogen 710179

Product Code. 15307234

  • 502.00 € / 100µg

Please to purchase this item. Need a web account? Register with us today!


For Research Use Only. All usage must comply with product instructions.

This item is not returnable. View return policy

Description

Description

Adiponectin Recombinant Polyclonal Antibody for Western Blot, ICC/IF, IHC (P)

TRUSTED_SUSTAINABILITY
Specifications

Specifications

Adiponectin
Recombinant Superclonal
0.5 mg/mL
PBS with 0.09% sodium azide
Q15848, Q60994
ADIPOQ
Recombinant protein corresponding to amino acids 57-244 of human adiponectin.
100 μg
Primary
Human, Mouse, Rat
Antibody
IgG
Immunohistochemistry (Paraffin), Western Blot, Immunocytochemistry
11HCLC
Unconjugated
ADIPOQ
30 kDa adipocyte complement-related protein; 30kDa; Acdc; Acrp30; Ad; adipo; adipocyte complement related protein; adipocyte complement related protein of 30 kDa; adipocyte complement-related 30 kDa protein; adipocyte complement-related protein of 30 kDa; adipocyte, C1Q and collagen domain containing; adipocyte, C1q and collagen domain-containing protein; Adipocyte-specific protein AdipoQ; adiponectin; adiponectin, C1Q and collagen domain containing; Adipoq; Adipose most abundant gene transcript 1 protein; adipose specific collagen-like factor; ADIPQTL1; ADPIOQ; ADPN; Apm1; APM-1; APN; GBP28; Gelatin-binding protein; gelatin-binding protein 28
Rabbit
Protein A
RUO
11450, 246253, 9370
Store at 4°C short term. For long term storage, store at -20°C, avoiding freeze/thaw cycles.
Liquid
Product Suggestions

Product Suggestions

Videos
SDS
Documents

Documents

Certificates
Promotions

Promotions

Product Content Correction

Your input is important to us. Please complete this form to provide feedback related to the content on this product.

Product Title

By clicking Submit, you acknowledge that you may be contacted by Fisher Scientific in regards to the feedback you have provided in this form. We will not share your information for any other purposes. All contact information provided shall also be maintained in accordance with our Privacy Policy.

Thank You! Your feedback has been submitted. Fisher Scientific is always working to improve our content for you. We appreciate your feedback.