| Content And Storage |
Use a manual defrost freezer and avoid repeated freeze-thaw cycles. 12 months from date of receipt, -20°C to -70 °C as supplied. 1 month, 2 to 8 °C under sterile conditions after reconstitution. 6 months, -20°C to -70 °C under sterile conditions after reconstitution. |
| Target Species |
Mouse |
| Host Species |
Mouse |
| Conjugate |
Unconjugated |
| Applications |
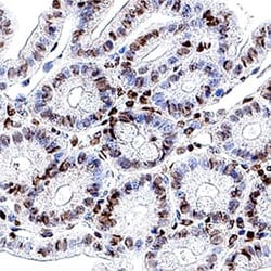
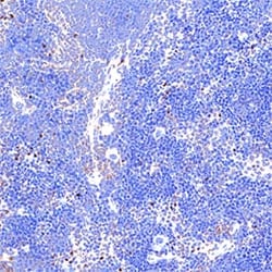
Immunohistochemistry,Immunocytochemistry |
| Form |
Purified |
| Isotype |
IgG2a |
| Antigen |
Ki67/MKI67 |
| Regulatory Status |
RUO |
| Purification Method |
Protein A or G purified from hybridoma culture supernatant |
| Dilution |
Immunohistochemistry 3-25 μg/mL, Immunocytochemistry 3-25 μg/mL |
| Gene Alias |
antigen identified by monoclonal Ki-67, antigen KI-67, Antigen Ki67, Ki67, Ki-67, KIA, Marker Of Proliferation Ki-67, MIB-, MIB-1, MKI67, PPP1R105, Proliferation Marker Protein Ki-67, proliferation-related Ki-67 antigen, Protein Phosphatase 1, Regulatory Subunit 105, TSG126 |
| Gene ID (Entrez) |
4288 |
| Formulation |
Lyophilized from a 0.2 μm filtered solution in PBS with Trehalose. |
| Immunogen |
Synthetic Peptide |
| Classification |
Monoclonal |
| Reconstitution |
Reconstitute lyophilized material at 0.2 mg/mL in sterile PBS. For liquid material, refer to CoA for concentration. |
| Primary or Secondary |
Primary |
| Clone |
1088403 |