| Content And Storage |
Use a manual defrost freezer and avoid repeated freeze-thaw cycles. 12 months from date of receipt, -20°C to -70 °C as supplied. 1 month, 2 to 8 °C under sterile conditions after reconstitution. 6 months, -20°C to -70 °C under sterile conditions after reconstitution. |
| Target Species |
Human |
| Host Species |
Rat |
| Conjugate |
Unconjugated |
| Applications |
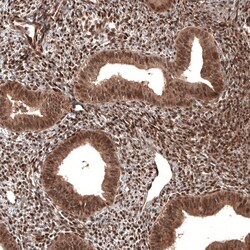
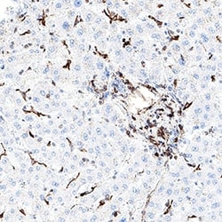
Immunohistochemistry |
| Form |
Purified |
| Isotype |
IgG2a |
| Gene Accession No. |
P35916 |
| Antigen |
VEGFR3/Flt-4 |
| Regulatory Status |
RUO |
| Purification Method |
Protein A or G purified from ascites |
| Dilution |
Immunohistochemistry 3-25 μg/mL |
| Gene Alias |
EC 2.7.10, EC 2.7.10.1, Flt-4, FLT4, fms-related tyrosine kinase 4, LMPH1A, PCLFLT41, soluble VEGFR3 variant 1, soluble VEGFR3 variant 2, soluble VEGFR3 variant 3, Tyrosine-protein kinase receptor FLT4, vascular endothelial growth factor receptor 3, VEGF R3, VEGFR-3, VEGFR3Fms-like tyrosine kinase 4 |
| Gene ID (Entrez) |
2324 |
| Formulation |
Lyophilized from a 0.2 μm filtered solution in PBS with Trehalose. |
| Immunogen |
Mouse myeloma cell line, NS0-derived human VEGFR3/Flt-4, Tyr25-Ile776, Accession # P35916 |
| Classification |
Monoclonal |
| Reconstitution |
Reconstitute lyophilized material at 0.2mg/mL in sterile PBS. For liquid material, refer to CoA for concentration. |
| Primary or Secondary |
Primary |
| Clone |
1091512 |